HYRJE
Osteomat jane tumore beninje me rritje te ngadalte qe pas heqjes kirurgjikale nuk japin recidive locale apo metastaza ne distance.Osteomat e sinuseve paranazale perbejne 50% te te gjitha tumoreve beninje te hundes dhe te sinuseve.
Lokalizimi me i shpeshte eshte sinusi frontal me nje incidence qe varion nga 47-80% te te gjitha rasteve.2,3 Ne 37% te rasteve osteomat marrin orgjine nga sutura frontoethmoidale por shume osteoma marrin orgjine nga vende te ndryshme te sinusit, prej cdo pjese te sinusit frontal( catise, dyshemese ,septumit interfrontal, murit anterior ose posterior) Ne lokalizimin fronto etmoidal , me shpesh lokalizohet prane duktusit nazolakrimal.
Incidenca e sakte e osteomave ngelet e panjohur meqenese ato jane asimptomatike dhe mund te zbulohen rastesisht gjate nje ekzaminimi me rreze X.
Mosha e fillimit varion nga dekada e 3 te deri ne te 4 t te jetes.
Meshkujt preken 2:1 ne raport me femrat.
RASTI I PARE.
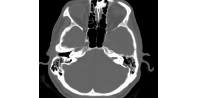
Pacientia VH.37 vjec, diagnostikohet pas nje egzaminimi Ro-grafik te sinuseve paranasale ne kuadrin e nje historie te gjate qe ankon dhimbje koke. Pacientia ishte trajtuar per sinusit maksilar te asaj ane , me orgjine odontogene para disa vitesh, dhe here pas here sinuziti maksilar riakutizohej. Diagnostikimi u saktesua me CT. Osteoma paraqitej me shtrirje fronto-etmoidale me diameter rreth 2 cm dhe heqia e saj u realizua nepermjet nje nderhyrjeje kirurgjikale fronto-orbitale[Lynch].
Ne operacion u verifikua qe duktusi naso-frontal ishte i lire, mukoza e sinusit ishte e shendoshe dhe u realizua dhe nje komunikim shtese fronto-etmoinal i konsiderueshem. Plaga operatore u mbyll ne shtresa dhe u be fashatim kompresiv i regionit .Gjate qendrimit ne spital u trajtua me antibiotike dhe anti imflamatore. Pacientia u ndie menjehere e cliruar nga dhimbja e kokes dhe ne dinamike nuk u vrejt ndonje pasoje qe te lidhet me osteomen apo nderhyrjen pas 1.5 vjetesh.

Fig.1 – Pacientja VH, 7 dite pas operacionit. Incizioni i perdorur eshte fronto-orbital, dhe metoda operatore Lynch.


Fig.2 – Prania e osteomes frontoethmoidale ne CT. Fig.3 Ro rafi pas heqjes te osteomes.
RASTI I DYTE.
Pacientia 48 vjec diagnostikohet pas nje egzaminimi Ro-grafik te sinuseve paranasale pasi paraqiste nje dhimbje te vazhduar te kokes dhe prej disa vitesh trajtohej me medikamente te ndryshem pa efikasitet. Per saktesim diagnoze u be CT i kokes dhe u pa qarte madhesia dhe shtrirja e osteomes e cila e merrte orgjinen nga septum intrasinusal i sinusit frontal dhe shtrihej brenda kufijve te sinusit. Interventi kirurgjikal per heqien e saj u realizua me incision fronto-orbital[Lothrop].
Gjate nderhyrjes u vrejt qe mukosa e sinusit ishe intakte,duktusi fronto-nazal i lire dhe baza e osteomes ishte ne septum. Me kete rast u krijua dhe nje komunikim midis dy sinuseve. Plaga operatore u mbyll per prima dhe u mjekua me antibiotike dhe kortizonike per nje periudhe te shkurter. Del pas 2 ditesh nga spitali dhe menjehere u ndie e cliruar nga dhimbja. Periudha e me voneshme ka rezultuar e qete dhe ne egzaminimet Ro-grafike te kontrollit rezulton qe sinusi te jete pa patologji dhe me ajrosje normale.
Fig.4 Osteome e sinusit frontal me baze ne septum.

Fig.6 Foto e pacientes 1 vit post interventit.Fig.5 Ro grafi 1 vit mbas heqjes te osteomes
DISKUTIM
Persa i perket etiopatogjenezes te osteomes te sinusit frontal ekzistojne tre teori : traumatike, infektive dhe embriologjike.3,7.
Asnje nga keto nuk eshte plotesisht e akredituar se te tjerat ose e afte te hedhi poshte te tjerat. Ne fakt nuk ka gjithmone nje histori traume. Megjithese inflamacioni eshte vertetuar qe stimulon aktivitetin osteoblastik , inflamacioni i sinusit ndjek obstruksionin e ostiumit.1,3.
Sipas teorise embriologjike osteoma mund te rrjedhe prej suturave fronto ethmoidale , ku ka ind membranoz dhe osteokartilagjinoz, por osteoma mund te zhvillohet larg prej ketyre zonave.3,5,7.
Raste me osteoma multiple jane te rralla por kur jane prezente mund te shoqerohen me polipoze te zorres te trashe.(sindromi Gardner tumore subkutane desmoide dhe ciste epidermale.)2,3,7
Histologjikisht dallojme 3 tipe osteomash 2,6
- Kompakt ose fildish, me lamella kockore te vendosura ne shtresa , me rritje te ngadalte.
- Spongioze, me spaciume te gjera medulare, pa kanalet e Haversit me rritje me te shpejte dhe me aggressive.
- E perzier ku te dy karakteristikat e mesiperme jane te pranishme dhe kjo paraqet formen me te zakonshme me 50% te rasteve.
Klinikisht kjo forme e osteomes mund te mbetet asimptomatik per nje kohe te gjate, madje per te gjithe jeten e pacientit , mund te zbulohet rastesisht nga nje Ro grafi. Megjithese osteoma invadon bulbusin ne 1/3 e rasteve simptomat qe lidhen me te nuk jane te shpeshta dhe konsistojne ne proptoze, diplopi dhe ptoze 7.
Rastet me humbje shikimi dhe epifora, jane raportuar rralle nga literature.Gjate rritjes te ngadalte osteoma mund te perhapet ne fosen Kraniale nepermjet lamines kribriforme duke shkaktuar hypertension endokranial, meningit, pneumocefalus. 2, 5 ,6 ,7.
Persa i perket diagnoses radiologjia paraqet rendesi kryesore dhe CT paraqet shtrirjen dhe relacionet e osteomes me strukturat e aferta. Rezonanca magnetike indikohet ne te gjitha rastet kur suspektohet komplikacion endokranial. 1,3,5.Ne rastin e osteomave te vogela asimptomatike rekomandohet te ndiqen nepermjet Ro-grafi cdo 6 muaj per te pare ecurine e semundjes.7.
Ndersa qendrimi mjekesor karshi osteomave simptomatike apo atyre qe shoqerohen me komplikacione orbitale apo endokraniale nga te gjithe autoret eshte pranuar qe trajtimi i osteomave eshte kirurgjikal por koha dhe lloji i nderhyrjes do te varen nga simptomat e shfaqura apo nga lokalizim ,madhesia dhe shtrirja e tumorit. 2,4,7.Parimet e nderhyrjes kirurgjikale jane ato qe zbatohen ne rastet e te gjithe tumoreve beninje.
Ne rastet e osteomave pa shenje orbitale apo endokraniale teknika operatore e zgjedhur do te ishte ajo fronto-orbitale sipas Ogston –Luc.2,5,6,7. Kjo teknike ne vetvete perfshin disa teknika te tjera qe kane marre emra te ndryshem sipas autorit qe i ka aplikuar. 5,7.
REFERENCAT
1. Spencer MG, Mitchel DB, Growth of frontal sinus osteoma Laryngol Otol 1987, 101:726-8
2. Volwes RH, Bleach NR, Imaging case study of the month: Frontoethmoid osteoma. Ann Otol Rhinol Laryngol 1999, 108:522-4
3. Marcos J et al Osteoma frontal a proposito de un caso. Acta Otorhin 1990, 41:178-80
4. Alford BR, Gordman GN Mersol VF. Osteoplastic surgery of the frontal sinus. Laryngoscope1965, 75:1139-50.
5. Whiston We. Orcutt JC Walkinshaw MD. Orbital osteoma in Gardner’s syndrome. Am J Ophthalmol 1986, 101:236-41
6. Ferlito A et al Intracranial pneumocephalus(secondary to frontoethmoidal osteoma) J Laryngol Otol 1989, 103:634-7.
7. Holness RO, Attia E Osteoma of the frontoethmoidal sinus with secondary brain abscess And intracranial mucocele: case report. Neurosurgery 1994, 35:796-7.


